Grinding in the primary Dentition
Does your child grind their baby teeth? If they do, it can be pretty loud and unsettling. Learn more about it below..
As soon as your child gets teeth, they can grind them.
Teeth grinding, or bruxism, is very common in children. Some children will grind their teeth as soon as they erupt. Fortunately, it’s usually not a big deal and most kids will outgrow it once their permanent teeth erupt. Unfortunately, like all phases of life with children, there will be times when it worsens.
Why do kids grind their Baby teeth?
Children grind their teeth for many reasons. The most common times we see it in our practice are below:
When the teeth first erupt: If your 6-8 month is grinding those front teeth when they first come in, it’s usually an exploratory response (What are these new things in my mouth?). This phase is usually pretty quick (4-8 weeks), but can persist depending how fast they get their back teeth.
When the molars are erupting: If the initial grinding stops, or your child starts grinding between 18-36 months, it usually because the 1st and/or 2nd molars are growing in. These can be painful to “teethe,” and grinding can be a self-soothing mechanism.
When the primary teeth are exfoliating: If your child has loose baby teeth, they may subconsciously grind them as a comforting/soothing mechanism. It typically stops once the teeth fall out. This phase will wax and wane as the teeth fall out between 6-12 years of age.
When your child does not have any habits: If you child does not use a pacifier, suck their thumb, or have a blanket they chew on, they may use teeth grinding as their comfort source. Unfortunately, there’s not much we can do, other than attempt to limit the bruxism provoking events.
When your child is sick or has pain: If your child doesn’t feel well or is congested, has an ear infection, or has tooth pain, sometimes they’ll grind their teeth as a comforting mechanism. This usually stops once the source of illness or discomfort is resolved.
When your child is stressed: If your child has had a recent major life change or event (such as moving or starting daycare/school, etc.), teeth grinding is not unexpected. It should resolve as your child normalizes to the life change. Discuss with your pediatrician or pediatric dentist if mental/psychosocial health are of a concern (bullying, school performance, home life, etc.).
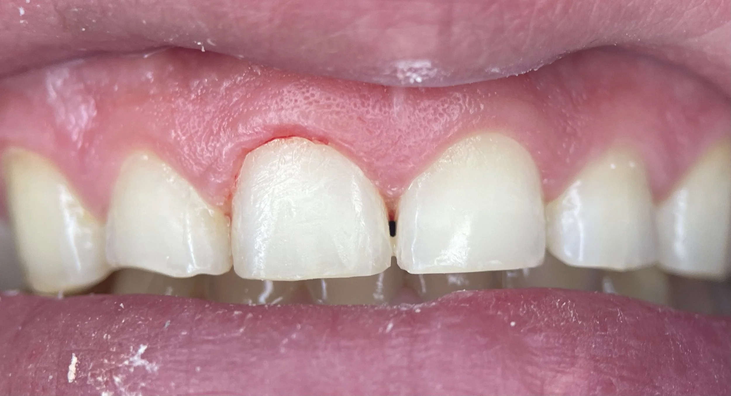
Shortened, flat anterior teeth due to teeth grinding in a 4 year old.
Does teeth grinding need treatment?
When it occurs in the baby teeth, typically no treatment is indicated, as long as your child does not display any symptoms. Rarely, a child could grind their teeth with enough force and frequency to cause sensitivity, tooth fracture, or possible nerve exposure. If this happens, treatment is usually indicated. Discuss with your pediatric dentist for possible treatment options.
If the teeth grinding is loud enough to keep you up at night (and you think your child will tolerate it), you can attempt an over-the-counter athletic guard as a night guard. The goal is that your child will grind on the night guard instead of their teeth, which will hopefully cause less damage to their teeth, and be much quieter.
We don’t make custom night guards at this age. Your child will outgrown them too quickly.
Are there any problems with teeth grinding in the baby teeth?
Usually the only complication is difficulty exfoliating (losing) the baby teeth. Sometimes the teeth become so small from grinding that it is difficult for kids to wiggle them out on their own. If you notice your child’s teeth become very short from grinding, contact your pediatric dentist.
If your child has pain or infection from grinding their baby teeth, which is very rare, treatment is usually indicated to prevent problems with the permanent teeth. If this occurs, contact your pediatric dentist.
What if my child has short teeth, but they don’t grind them?
If you don’t notice your child grinding their teeth, but they are unusually short, it’s typically diet or reflux related.
A diet high in acidic and sugary foods can abnormally wear down the teeth. High consumption of frequent acidic citrus or their juice counterpart (lemons, oranges, etc.) can wear down the teeth.
Similarly, frequent acid reflux can also wear down the teeth. This erosion, however, is more prevalent on the back surfaces of the teeth.
What if the grinding continues in the permanent teeth?
If a child has all of their permanent teeth (age 12-14), and they are still grinding their teeth, we may recommend treatment. We look for two things:
Is there wear on the permanent teeth? It usually appears a small divots on the cups of the molars, flattened canine cusp tips, or small chips on the edges of the front teeth.
Is there TMJ dysfunction? When we evaluate the TMJ, excessive grinding puts abnormal wear and tear on the joint. The jaw joint may make noises (pops, clicks), have limited range of motion, or have a history of getting stuck open or closed.
Flattened canines and fracture incisors from bruxism in a 16 year old.
If any of these things are happening, your pediatric dentist may recommend treatment (a night guard) or referral to a TMJ specialist.

