My Child Chipped Their Tooth…
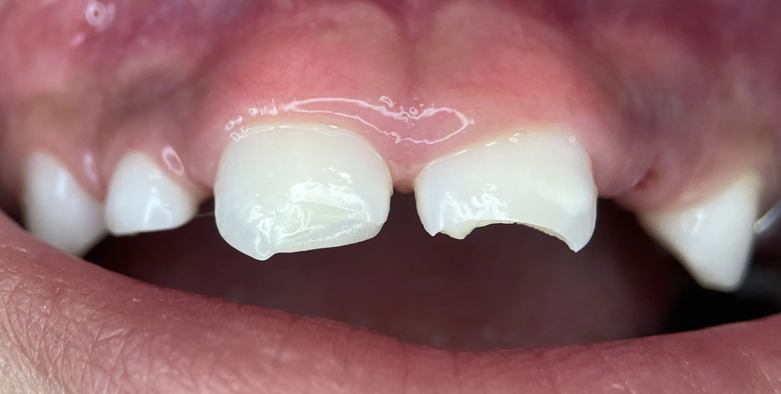
Before: A small enamel-only fracture. This can usually be treated with a small filling.
Did your child fall or have trauma to the face that resulted in a fractured (chipped) front tooth? This can be especially frightening for the child and their parent.
When these emergencies arrive in our office, here’s how we typically handle the situation:
First things first:
Did your child lose consciousness? Do they remember the event? Are they acting or responding abnormally?
If you haven’t arrive at the dental office yet, contact your dentist. They’ll likely recommend you forgo the dental office and head to the hospital for a neurological evaluation (to rule out brain trauma and concussion).
If you’ve already arrived at the office, so, we’ll do a quick neurological exam (and quick oral exam if indicated) and either recommend you go to the hospital or call 9-11 for ambulance transport depending on your child’s presentation.
Assuming your child is neurologically stable, we can proceed.
How did the trauma occur? When did it occur?
Depending on the environment in which the accident occurred and if there’s any soft tissue injuries (cuts, bruises, etc.) or pulp exposures, we may recommend an antibiotic.
The time from injury to evaluation can be a big deal when it comes to treatment planning, especially if the pulp of the tooth is exposed.
Whenever you have trauma to teeth, seek evaluation as soon as possible. This is especially true if your child knocks out a permanent tooth - this is a true emergency. If your dental office is not open, go to the hospital.
How large is “chip”? Does your child have pain?
We’ll look at the tooth and determine the extent of the damage. If the tooth is very sensitive, there is any bleeding from the tooth, or if it is loose, immediate care is recommended (same-day, after-hours, emergency room). These teeth usually need some pulp therapy (direct pulp cap or root canal) and splinting.
When the accident first happens, you can try to control the bleeding with pressure from a damp gauze or cloth. First, rinse with water if your child is able. Then hold light pressure for a few minutes. You can give your usual over-the-counter pain medication if needed to help with discomfort.
If the chip is small (<2-3mm) and doesn't have an pain or sensitivity, we don’t typically recommend any emergent treatment. Contact your dentist, but they may schedule a non-emergency dental appointment rather than see you same-day or after-hours.
After: The fracture is unnoticeable with a tooth-colored filling.
If I have the chipped piece of tooth, should I keep it?
Yes. There are some circumstances where the chip can be re-bonded to the tooth.
What are the different treatment options?
Treatment depends on a few things:
Is the trauma to a baby tooth or a permanent tooth?
How large is the fracture?
Was the pulp (nerve/blood vessels) exposed?
Trauma to the Baby Teeth vs. Permanent Teeth
If the trauma was to a baby tooth, the treatment really depends on the size of the fracture, your child’s age, and their behavior.
Small fractures with no pain can usually be monitored until the tooth falls out naturally, smoothed, or treated with a filling if your child’s behavior permits.
Fractured incisor on a 4 year old with no symptoms. Due to uncooperative behavior, careful monitoring was the treatment option chosen.
Large fractures that involve the pulp can be more complicated. Either extraction (removal) of the tooth or a nerve treatment and crown are recommended, contingent upon your child’s age and their behavior. Your pediatric dentist will discuss which option is best for your situation.
Before:
Fracture with pulp exposure on a primary central incisor. Treatment options are extraction or pulp treatment and crown. The parent opted for a crown in this case.
After:
The gum tissue will heal, but crowns in this case are difficult to match adjacent teeth with moderate wear (attrition).
If the trauma was to a permanent tooth, read further.
How large is the fracture?
Small fractures to permanent teeth can be treated with either a dental filling, or by simply smoothing out the fracture (if it is very small).
Large fractures can sometimes be treated with a dental filling, although is longevity and durability are very compromised. If this option is chosen, it is very important that your child does not eat crunchy foods, does not use their teeth as “tools", and always wears a mouthguard during sports.
Usually large fracture are treated with crowns. In adolescents, the crown is frequently made of filling material that is injected into a crown former that resembles your child’s tooth shape and color. Once the material is set, the dentist will shape the crown to match your child’s tooth. If your child’s tooth has not fully grown in, additional material will have to be added as the tooth continues to erupt. Because the filling material is not as strong as the tooth, it may breakdown/fracture over time and need frequent repairs.
Once your child is done growing (18-21 for females, 21-26 for males - rough estimate), a definitive crown can be fabricated. These crowns are made of porcelain, zirconia, or some other tooth colored material that is very durable. We don’t recommended these in adolescents because their teeth are still growing in, and would require frequent replacements.
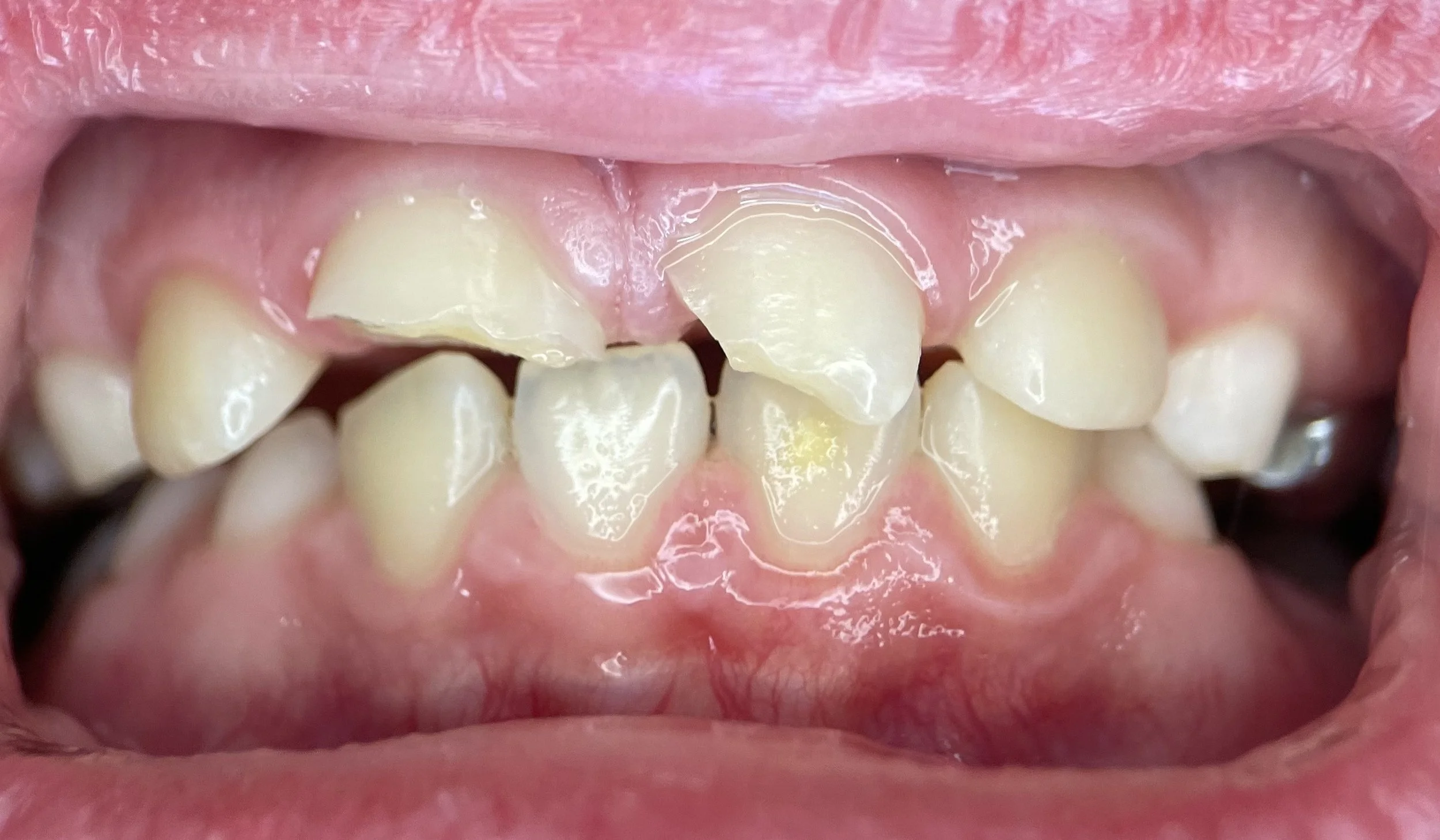
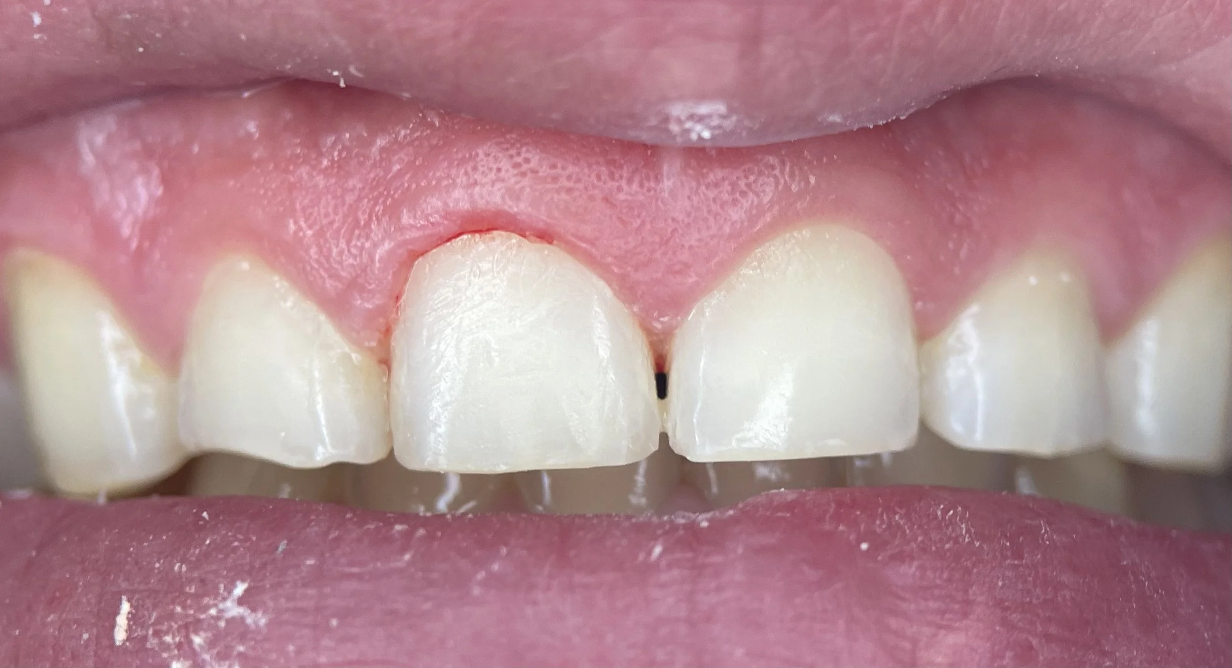
Before:
Large fractures without pulp exposure following a skateboarding accident.
After:
The same teeth treated with resin tooth-color crowns. These will likely need to be replaced once the patient is an adult.
Was the pulp exposed?
If the pulp (blood vessels/nerve) of the tooth was exposed, additional treatment is indicated prior to placement of the filling or crown.
If the exposure was small (<1-2mm) and treatment was initiated within 24 hours, a direct pulp cap is usually recommended. With this, the area is irrigated with an antimicrobial and then a dressing is placed on top of the exposure (usually MTA or Calcium Hydroxide). If the tooth develops symptoms after this treatment (swelling, spontaneous pain, changes on the radiograph), a root canal (or extraction - worst case scenario) may be indicated.
If the exposure was large, or treatment was initiated >48 hours after the incident, either a pulpotomy or root canal may be indicated. There are many factors that determine which treatment. Your dentist will help you choose what is best.
Final Thought…
Unfortunately, when your child fractures a permanent front tooth, it’s something that they have to do deal with for the rest of their life. Follow-up care and strict adherence to post-operative instruction is very important. And, please have your child wear mouthguard for any contact sport - an ounce of prevention is worth a pound of treatment.

